2024年11月,国际学术期刊Acta Pharmaceutica Sinica B (IF= 14.7) 在线发表了公司三亿体育沈旭和药公司曹鹏团队合作研究的最新成果。研究人员首次揭示了Kv2.1钾离子通道是淀粉样蛋白Aβ调控小胶质细胞炎症/神经元Tau过度磷酸化的桥梁,同时发现临床抗痉挛“老药”六氢芬宁 (Drofenine,Dfe) 作为Kv2.1抑制剂能够有效改善5×FAD模型鼠的阿尔兹海默症 (Alzheimer's disease, AD) 样病理症状。
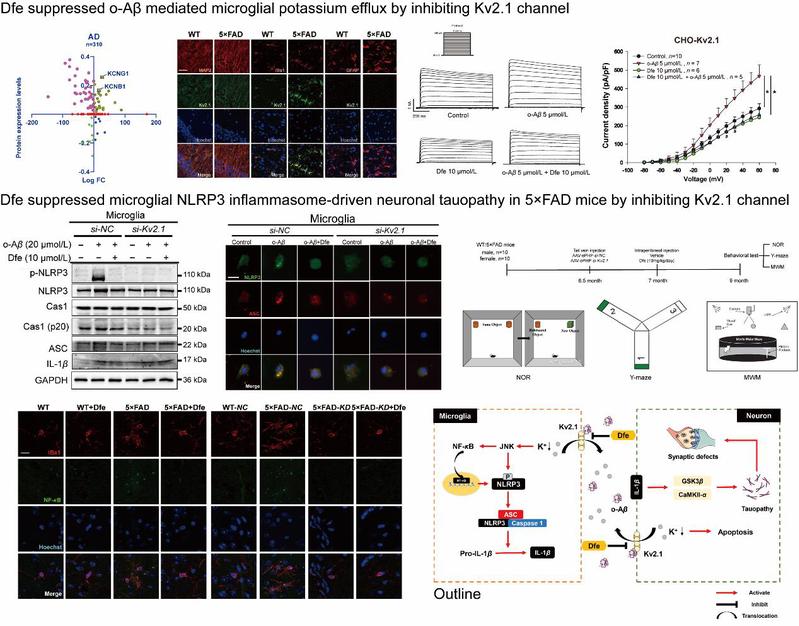
AD是一种多发于老年人群,起病隐匿的神经退行性疾病。随着我国人口老龄化加剧,AD患病人数已居世界首位,已成为我国面临的严峻社会问题。AD病理机制复杂,Aβ引起的神经炎症是AD患者大脑的早期病理之一,同时也是Aβ-Tau级联反应的驱动因素。NLRP3炎症小体作为一种炎性传感器复合蛋白,已被证明在AD发病过程中起重要作用 (Nature, 2019), 但Aβ如何介导NLRP3炎症小体激活的机制并不明确。
在本研究论文中,研究人员发现Aβ寡聚体能够通过选择性激活Kv2.1通道诱导小胶质细胞钾外流从而激活JNK/NF-κB通路,并促进NLRP3炎症小体的启动和组装过程。进一步地,研究者以实验室前期从“老药库”中发现的Kv2.1抑制剂Dfe为探针探究了Kv2.1在AD病理中的调控机制。Dfe能够通过抑制Kv2.1通道有效拮抗Aβ寡聚体诱导的小胶质细胞NLRP3炎症小体激活和神经元Tau过度磷酸化,并最终改善AD转基因鼠的病理表型。研究阐述了Aβ介导的NLRP3炎症小体激活的潜在机制,并强调了Kv2.1抑制剂在阻断Aβ-Tau级联反应和治疗AD方面的潜力,为AD的病理机制研究以及基于Dfe的抗AD药物研发提供了重要的科学依据。
青年教师卢健、周谦及朱丹阳为论文的第一作者,王佳颖副教授、曹鹏教授和沈旭教授为本文通讯作者。该研究得到国家自然科学基金、国家重点研发计划和江苏省自然科学基金等项目资助。
论文链接:Drofenine as a Kv2.1 inhibitor alleviated AD-like pathology in mice through Aβ/Kv2.1/microglial NLRP3/neuronal Tau axis https://www.sciencedirect.com/science/article/pii/S221138352400443X

(撰稿人:卢健;审核人:沈旭)